Cosmetic Dentistry

Cosmetic Dentistry

What is Cosmetic Dentistry?

We believe that a smile that you like, is a healthy smile. Cosmetic dentistry does not only involve improving the aesthetic of your teeth, but can play a key role in maintaining and improving the health of your teeth and gums, as oral hygiene practices become more effective and quality of life improves.

Our clinicians are extensively trained and experienced in aesthetic restoration. Talk to us today about the smile makeover that you deserve.

Dr Dana Talking To Patient

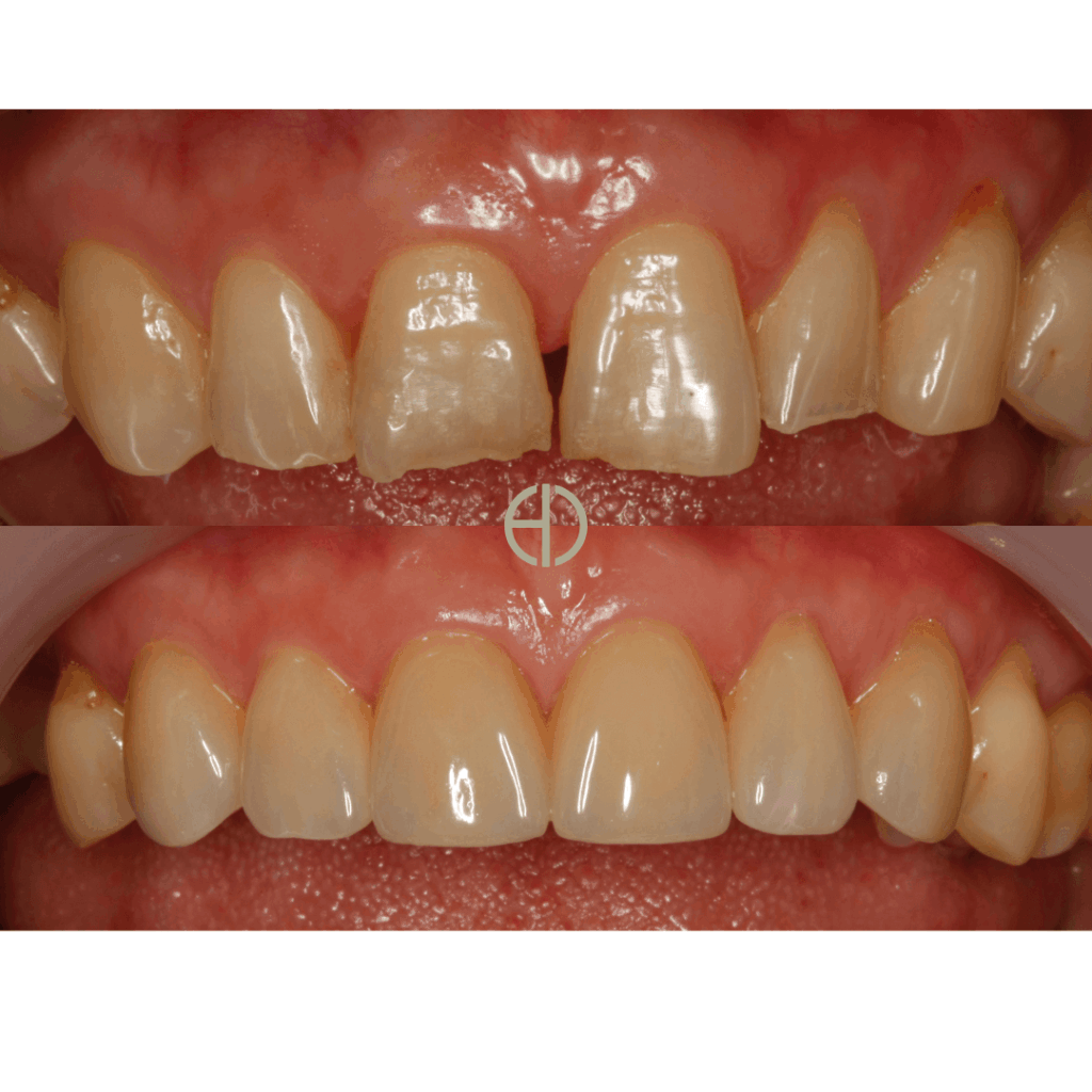
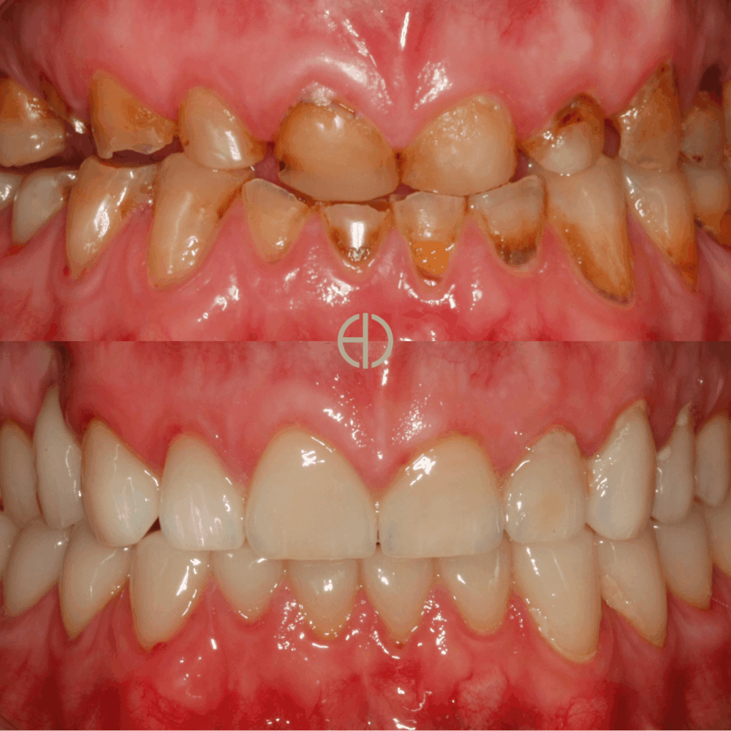
Example Before and Afters:

Before and After
Before and After
Before and After
04.

More Information:

A Visit to Our Oral Hygiene Department

Hartwell’s Cosmetic and Orthodontic Dentistry

Where Can I Find Forms and Information Sheets?

Book Now
Scroll to Top